Before and After

Real Smiles, Real Transformations

See how our expert, personalized care helps patients rediscover confidence in their smiles.

Expert Care for Every Milestone: A Lifelong Commitment to Your Smile

Maintaining a vibrant, healthy smile is more than just a routine; it is a lifelong commitment to your overall well-being. At our practice, we believe that exceptional dental health begins with a strong foundation. That is why we recommend children receive their first professional cleaning and assessment before their second birthday. By establishing a “dental home” early, we ensure that the youngest members of your family grow up with the confidence and habits needed for a lifetime of healthy teeth.

As you move through different stages of life, your dental needs naturally evolve. Because every mouth is unique, we don’t believe in a one-size-fits-all approach. We offer a comprehensive spectrum of specialized treatments tailored to your individual anatomy and health goals.

Smiles We’ve Crafted

Your Dream Smile is Closer Than You Think

Braces Treatment: Before & After Results

Wondering How Braces Can Improve Your Smile?

With advanced orthodontic technology and the expertise of our experienced specialists, braces can gently and effectively align your teeth for long-lasting results. Straight teeth not only enhance your appearance but also improve confidence and oral health. Explore our before-and-after gallery to see real smile transformations achieved at Defence Smile Center.

Invisalign Treatment: Before & After Results

Considering Invisalign for a Straighter, More Confident Smile?

Straight teeth can significantly enhance both confidence and overall appearance. Invisalign offers a discreet and comfortable way to align your teeth using clear aligners designed to fit seamlessly into your lifestyle. Explore our before-and-after gallery to see real Invisalign results achieved through expert orthodontic care at Defence Smile Center.

Tooth Crowns: Before & After

Thinking About Tooth Crowns to Enhance Your Smile?

Explore our before-and-after gallery to see the remarkable smile transformations achieved with tooth crowns. Our patients have experienced noticeable improvements in both appearance and confidence, showcasing the power of expert crown treatments.

Veneers Treatment: Before & After Results

Thinking About Veneers to Enhance Your Smile?

Even minor imperfections can affect how you feel about your smile. Dental veneers offer a refined solution to improve shape, color, and overall harmony—without compromising a natural look. Explore our before-and-after gallery to see real veneer results achieved through precise, personalized care at Defence Smile Center.
screenshot 2026 02 03 024356 1white 3

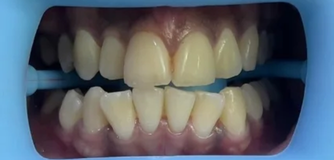
Teeth Whitening: Before & After Results

Looking to Brighten Your Smile Safely and Effectively?

Professional teeth whitening can significantly enhance the brightness of your smile when performed under expert supervision. At Defence Smile Center, our experienced dental team provides safe, clinically guided whitening treatments tailored to your needs. Explore our before-and-after gallery to see real whitening results achieved with professional care.
image 1 2 e1770069989891 (2)image 2 2 (2)

Dental Implants: Before & After Results

Considering Dental Implants to Restore Your Smile?

Dental implants offer a reliable and long-term solution for replacing missing teeth, restoring both function and appearance. Designed to look and feel natural, implants can seamlessly blend with your smile when planned and placed by experienced specialists. Explore our before-and-after gallery to see real implant results achieved at Defence Smile Center.

Dental Bonding: Before & After Results

Wondering How Dental Bonding Can Enhance Your Smile?

Dental bonding is a minimally invasive cosmetic treatment designed to improve the shape, color, and overall appearance of teeth—without surgical procedures. When performed by experienced dentists, bonding can deliver natural-looking improvements with minimal discomfort. Explore our before-and-after gallery to see real dental bonding results achieved at Defence Smile Center.